radiografia

che cos'è?            a cosa serve?           come si interpreta?

 

È un utile strumento di valutazione del cuore nel contesto del torace, polmoni e grandi vasi. Consente di valutare contemporaneamente le dimensioni del cuore e la condizione dei polmoni e dei grossi vasi contenuti nel torace.

 

 

Che cos'è?

 

L'esame radiologico diretto del torace e un esame di facile esecuzione, non invasivo e sicuro.

Permette di valutare la posizione del cuore nel torace, la sua forma e le sue dimensioni.

L'ombra cardiaca mostra dei contorni ben definiti in contrasto con la trasparenza dei tessuti polmonari.

All'interno di tali contorni (che delimitano l'ombra o silouette cardiaca) il cuore e le sue strutture appaiono omogeneamente radio-opache dal momento che la loro densità radiologica e praticamente uguale a quella del sangue. A meno che non siano presenti depositi di calcio le varie strutture muscolari, vascolari e fibromembranose (come per esempio, le valvole) non sono distinguibili le une dalle altre.

Pertanto il cuore appare come un’unica massa chiara sullo sfondo scuro dei campi polmonari.

Le diverse porzioni del contorno cardiaco rivestono particolare importanza in quanto riflettono particolari strutture che se alterate possono modificare la silouette cardiaca. Variazioni del profilo cardiaco fuori dei limiti normali stanno ad indicare la presenza di qualche patologia cardiaca.

Una radiografia standard del torace ci permette di distinguere, sia pur in modo grossolano, un cuore normale da quello ‘sofferente’.

 

 

A cosa serve?

 

La radiografia del torace offre indicazioni preziose sui grossi vasi (arteria polmonare, aorta ascendente, arco aortico), i polmoni e la trama broncovascolare, la gabbia toracica, il diaframma.

Si ottengono così indicazioni sull'iperafflusso presente in alcune malattie valvolari, sulla presenza di cogestione polmonare nello scompenso cardiaco, sulla presenza di versamento pleurico anche lieve (valutabile esaminando il cavo pleurico).

 

La valutazione dello scheletro toracico permette di evidenziare varie malformazioni (come  pectus carenatum, il pectus excavatum).

 

Va ricordato che l'esecuzione di una radiografia standard del torace rimane basilare e indispensabile accertamento nelle malattie del cuore sia per la semplicità di esecuzione sia per la ricchezza di dati che offre ad una lettura immediata e non troppo difficile.

 

 

Come si interpreta?

 

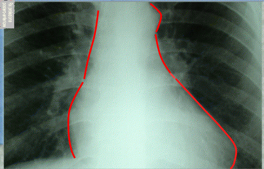
Le camere cardiache nella radiografia del torace in proiezione postero-anteriore (PA) delle camere cardiache sulla radiografia standard del Torace

 

In proiezione postero-anteriore (quella classica della Radiografia toracica di base) il bordo destro dell'ombra cardiaca e formato da una porzione inferiore, relativamente arrotondata, dovuta all'atrio destro (AD); da una porzione superiore, relativamente rettilinea, dovuta al margine destro della vena cava superiore (VCS) e da una piccola porzione dell’Aorta (AO) ascendente con la vena Azigos 

 

Il BORDO SINISTRO della silouette cardiaca presenta tre archi distinti e precisamente da  due convessità  e una concavità.

Il primo arco, superiore, piccolo e convesso è formato dall’arco aortico.

Il secondo o arco medio, è rappresentato dalla concavità che corrisponde al tronco della polmonare ed alla prima porzione del suo ramo sinistro.

Il terzo o arco inferiore, il maggiore dei tre, è un'altra convessità corrisponde alla parete anteriore e laterale (o libera) del Ventricolo Sinistro (VS). Una accentuazione di questo arco esprime alterazioni del ventricolo sinistro.

All'unione del II con il III arco si trova l'auricola dell'Atrio Sinistro (AS) che normalmente appare indistinguibile.

Come si può notare che, in proiezione standard Postero-Anteriore della radiografia del torace, il Ventricolo Destro (VD) non interviene a delineare alcun profilo dell’ombra cardiaca. Pertanto le alterazioni del Ventricolo Destro si manifestano sul profilo radiografico del cuore solo in maniera indiretta sia attraverso l’arrotondamento del profilo superiore dell’arco medio di sinistra (che rappresenta l’aumento dell’arteria polmonare) sia per l’innalzamento della punta del cuore (apice cardiaco) che rappresenta indirettamente l’aumento del ventricolo destro.

Le camere cardiache nelle radiografie del torace in proiezioni laterale ed obliqua.

 

In proiezione laterale la silouette cardiaca mostra un margine anteriore e uno posteriore.

Il margine anteriore, che un piccolo spazio trasparente separa dall'opacità sternale, è formato dal Ventricolo Destro (VD) nella metà inferiore e dai tronchi aortico e polmonare nella metà superiore.

Il margine posteriore, che un'ampia zona triangolare radiotrasparente separa dalla colonna vertebrale, è formato dal Ventricolo Sinistro (VS) inferiormente e dall'Atrio Sinistro (AS) superiormente.

 

È evidente che oggi abbiamo a disposizione altri esami più precisi per valutare le camere cardiache e fare misurazioni più precise delle strutture cardiache, prima fra tutte l’ecocardiogramma, a cui conviene sicuramente ricorrere per approfondire la situazione cardiaca quando alla radiografia del torace si evidenziano anomalie.

 

Indice o rapporto cardio-toracico

 

Prima dell’avvento dell’ecocardiogramma i radiologi offrivano ulteriori indicazioni sul cuore misurando tale indice.

Esso si ricava, nella radiografia standard in proiezione postero-anteriore, misurando il diametro trasverso massimo del cuore dividendolo per il diametro toracico.

 

Il diametro cardiaco massimo (trasversale) è dato dalla somma dei due emidiametri destro e sinistro del cuore.

 

L’emidiametro destro (a)è rappresentato dalla linea retto orizzontale che congiunge il punto di maggior convessità dell’arco inferiore destro con la linea mediana, ortogonale (c) del cuore.

L’emidiametro di sinistra (b)è dato dal congiungimento della linea mediana con il punto più sporgente dell’arco inferiore sinistro.

 

Normalmente il rapporto (diametro cardiaco / diametro toracico) è inferiore al 50% (precisamente allo 0,55). Quando esso è superiore al 50% fa pensare ad aumento di una o più camera cardica o alla presenza di versamento pericardico

Un valore superiore rivela l'ingrandimento del cuore o per aumento delle cavità cardiache (cardiomiopatie dilatative) o per aumento del liquido in pericardio (pericardite essudativa)

 

 

Il riscontro di anomalie del reperto radiologico (per esempio: l'ingrandimento dell’ombra cardiaca o dell’arco aortico) aiuta il cardiologo formulare la diagnosi e permette di orientare ulteriori approfondimenti con altre metodiche di "imaging" che in questi ultimi anni si sono enormemente sviluppate (dall'ecocardiografia alla scintigrafia miocardica, dalla TAC alla Risonanza Magnetica, ecc.)